March 2026


March 2026


 
sunday
monday
tuesday
wednesday
thursday
friday
saturday
1
2
3
4
5
6
7
8
9
10
11
12
13
14
15
16
17
18
19
20
21
22
23
24
25
26
27
28
29
30
31
1
2
3
4

testmeat photoblog


20 March 2008

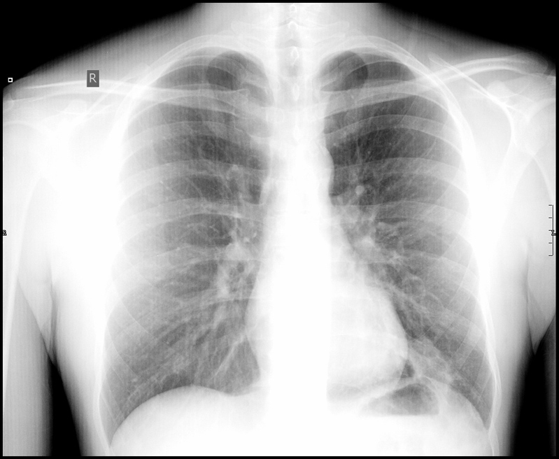
x-ray

well this is a first, all of the photos that i've posted on this blog have been taken by me except this one. if you haven't read about it already - this is from when i went to south africa and was hospitalised with pneumonia. in my ignorance i thought that pneumonia was only something that affected older people. when they were a bit too cold. turns out my ignorance wasn't that uncommon as the most frequent response when i told people was "how the fuck do you go to africa and get pneumonia?!". well, i was wrong and somehow picked up a bug that infected my lung. bugger. i was in for five days and as a leaving present they gave me antibiotics and digital copies of my x-rayed chest - just what i wanted. this was actually the second x-ray which the doctor said showed a reduction in the infection so i was free to be discharged. if this is a reduced infection you can imagine my first x-ray must have looked pretty severe.
name
website (optional)
leave this field blank
comment
are you human?

i've posted 2 photos taken with my x-ray machine

i've posted 87 photos taken with a shutter speed of n/a sec - here are the last few i posted - view the rest here

i've posted 75 photos taken with an aperture of f/n/a - here are the last few i posted - view the rest here

i've posted 67 photos taken with a focal length of n/a mm - here are the last few i posted - view the rest here

i've posted 2 photos taken on 8th January 2008

i've posted 103 photos taken from south africa - here are the last few i posted - view the rest here

countries


these are all the countries of which i've posted photos